• EchoSciences
  • Nantes
  • Grenoble
  • Bretagne
  • Nouvelle Aquitaine
  • Auvergne
  • Loire
  • Normandie
  • Paca
  • Savoie Mont Blanc
  • Grand Est
  • Hauts de France
  • Corse
  • Occitanie
Echosciences
  • Articles
  • Agenda
  • Annonces
  • Dossiers
  • Ressources
  • Communautés
  • Annuaire des acteurs
  • Carte des Echosciences

Inscrivez-vous

Rejoignez les passionnés de sciences et technologies de votre territoire. Cela ne vous prendra que quelques instants.

Inscription
Echosciences
  • Rechercher
  • Contribuer
  • S'inscrire
  • Se connecter
  • Je contribue
    • Rechercher
    • Je contribue
    • Mon Echosciences
    • Mes publications
    • Mon réseau
    • Mes favoris
    • Mon profil
    • Mes notifications
    • Mon compte
    • Administration
    • Super-admin
    • Statistiques
    • Open Data
    • Multi-publications
    • Echosciences France
    • Se déconnecter
  • Je contribue
    • Contribuer
    • S'inscrire
    • Se connecter
  • Connectez-vous
  • Inscrivez-vous
  • Accueil
  • Tag #medical
  • tous les contenus tagués
  • les articles
  • les événements
  • les annonces
  • les dossiers
  • les ressources
Tagué 1 fois
Suivre Ne plus suivre

#medical

  • imagerie
  • medical
Sébastien Levilly Repéré
article publié le 03/12/2025
 388

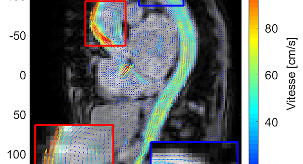
Visualiser le sang en mouvement : voyage au cœur de l’IRM de flux 4D

Une technologie encore méconnue qui pourrait transformer notre compréhension du système cardiovasculaire. Et si on pouvait filmer le sang en...

Suivez-nous

EchoSciences Pays de la Loire est financé par la Région des Pays de la Loire et Le Fonds Européen de Développement Régional. Propulsé par Terre des Sciences

EchoSciences Pays de la Loire est propulsé par Terre des Sciences

Mentions légales   |   Politique de confidentialité   |   CGU   |   Ligne éditoriale

Vous devez être connecté

Identifiez-vous pour profiter de toutes les fonctionnalités d'Echosciences

Connectez-vous

OU

Inscrivez-vous